銀座青山You矯正歯科

年間1000人以上の患者さんを見ている医院が選ぶ!信頼と実績の部分矯正部分矯正だから安くて早い220,000円~ 平均4~6ヶ月、10年保証で安心、全国11医院で運営 ※保険適応外の自由診療です。

話を聞くだけになっても大丈夫

カンタン予約はこちらから無料相談を予約する

こんな方に向いています

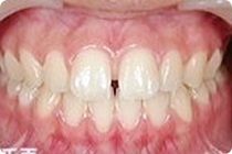
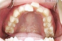
前歯が1本だけ出ている方
  • 歯
  • 歯
前歯のデコボコが気になる方
  • 歯
  • 歯
前歯の隙間が気になる方
  • 歯
前歯の捻じれが気になる方
  • 歯
  • 歯

当院では多くの方が部分矯正でキレイな歯並びを手に入れています

症例の一部をご紹介します

  • 症例1 (19歳 男性)

    主訴
    前歯のデコボコ
    治療内容
    マウスピース矯正
    治療期間
    6ヵ月
    治療費
    330,000円(税込)
    治療等の主な
    リスク・副作用
    部分矯正治療では前歯を中に入れる際には歯の隣接面を削る処置が必要
  • 症例2 (15歳 男性)

    主訴
    前歯のデコボコ
    治療内容
    ワイヤー矯正
    マウスピース矯正
    治療期間
    ワイヤー 2ヵ月
    マウスピース矯正 3ヵ月
    合計 5ヵ月
    治療費
    297,000円(税込)
    治療等の主な
    リスク・副作用
    部分矯正治療では前歯を中に入れる際には歯の隣接面を削る処置が必要
  • 症例3 (18歳 女性)

    主訴
    前歯のデコボコ
    治療内容
    ワイヤー矯正
    マウスピース矯正
    治療期間
    ワイヤー 4ヵ月
    マウスピース矯正 3ヵ月
    合計 7ヵ月
    治療費
    297,000円(税込)
    治療等の主な
    リスク・副作用
    部分矯正治療では前歯を中に入れる際には歯の隣接面を削る処置が必要
  • 症例4 (33歳 女性)

    主訴
    前歯のデコボコ
    治療内容
    ワイヤー矯正
    マウスピース矯正
    治療期間
    ワイヤー 5ヵ月
    マウスピース矯正 3ヵ月
    合計 8ヵ月
    治療費
    330,000円(税込)
    治療等の主な
    リスク・副作用
    部分矯正治療では前歯を中に入れる際には歯の隣接面を削る処置が必要
  • 症例5 (52歳 女性)

    主訴
    前歯のデコボコ
    治療内容
    マウスピース矯正
    治療期間
    8ヵ月
    治療費
    440,000円(税込)
    治療等の主な
    リスク・副作用
    部分矯正では歯の隣接面を削る処置が必要

1日20時間以上のマウスピース装着。マウスピースによる痛みや、一時的な嚙み合わせ不良が発生する可能性があります。

インビザライン最高ランク『レッドダイヤモンドプロバイダー』の紹介。全国トップ10に入る実績として、世界1800万人の治療データに基づき公式認定を受けたことを示す。ピラミッド図でランクの高さを示し、下からプラチナエリート、ダイヤモンド、ブラックダイヤモンド、ブルーダイヤモンド、最上位のレッドダイヤモンドが表示。下部に表彰盾とアンバサダーの男性の写真。
  • 有名雑誌にも掲載されました!

  • 著書も多数出版しています!!

銀座青山You矯正歯科 総院長 歯科医師 青山 健一

銀座青山You矯正歯科 総院長

歯科医師 青山 健一

  • 難易度の高い部分矯正も数多く手掛ける
  • 矯正に関する著書を多数出版
あなたの笑顔もっと素敵に 弾ける笑顔があなたの魅力に部分矯正なら短期間で口元に自信が持てます。
早い・安い・簡単な矯正なら部分矯正 総額(方顎)220,000円(税込)~・期間平均4~6か月
  • 来院ごとの調整料は 無料
  • 難しい 全体矯正 にも対応
  • 11医院 あるので引っ越しでも安心

当院では世界シェアNo.1のインビザラインを使用して矯正治療を行っています。

もっと多くの方に
もっと気軽に矯正治療を
受けていただくために

そのために銀座青山You矯正歯科は部分矯正治療に力を入れています。
矯正で歯並びがキレイになることで笑顔に自信が持てるようになった 」という嬉しい感想をこれまでにたくさんいただいています。

部分矯正を手頃な価格で提供し、もっと多くの人に笑顔を届けたい!

私たちはそんな想いで矯正治療に励んでいます。

マウスピース矯正のすごいポイントとは?

  • Point01

    透明だから気付かれにくい

    マウスピースは透明な素材でできています。
    そのため、矯正治療中であることを周囲にはほとんど気付かれません。

  • Point02

    取り外し可能

    いつでも自分で簡単に取り外しができます。
    マウスピースを取り外してブラッシングができるため衛生的です。

    ※1日20時間以上の装着が必要です
  • Point03

    傷みを感じづらいので快適

    マウスピース矯正はそれぞれの歯に適切な力を加えて歯を動かします。
    ワイヤー矯正に比べると痛みが少なく、口内炎や虫歯にもなりにくく快適に過ごせます。

  • Point04

    通院は1~3ヵ月に一度で大丈夫

    ほとんどの医院は月1回の通院が普通です。
    当院ではお一人おひとりのお口の状況に合わせたオーダーメイドの矯正を行いますので、1~3ヵ月に一度の通院でOKです。

  • Point05

    矯正期間は4~6ヵ月と短期間

    一般的な矯正は1年半~2年かかりますが、部分矯正なら最短4ヵ月で終了できます。
    お急ぎの方もまずはご相談ください。

    ※お口の状態や目標とするゴール設定でかかる期間は変わります
矯正治療費の説明画像。全顎矯正は88〜110万円と高額だが、当院では片顎18万7000円(税込)からの部分矯正が可能。部分矯正は早く・安く・簡単で、毎回の調整料0円、分割手数料も医院負担。世界シェアトップのインビザラインで最高位『レッドダイヤモンド』認定の医院として安心して治療を受けられる内容が紹介されている。
  • 利益を大幅にカットしています

    部分矯正では、歯並び全体の改善を行うワイヤーでの全体矯正に比べて、短い治療期間で完了できます。
    治療期間が短い分、人件費や原価を抑えることができます。

    また、当院では多くの患者様にご利用いただいていることから、仕入コストが安くなっています。
    そして、インビザラインの症例数も国内トップレベルなので、治療結果も安心できます。

  • 革新的な機器を使用しています

    多くの方に低価格での部分矯正を提供するため、革新的なテクノロジーであるAIを活用し、コスト削減に成功しています。

  • 部分矯正で対応できる歯並びを確認

    部分矯正では目立ちやすい前歯を重点的に動かして、理想の歯並びに近づけます。
    他の医院ではできないと言われた部分矯正でも、当院では対応可能な場合がありますので、まずはご相談ください。

ワイヤーでの全体矯正との比較

部分矯正と全体矯正の比較表。部分矯正は総額18.7万円から、期間は平均4〜6か月、痛みが少なく奥歯は動かさず前歯を中心に治療。全体矯正は総額88〜140万円、期間は約1〜3年、痛みが強く奥歯も動かし全顎で治療を行う。

部分矯正の
メリット・デメリット

  • メリット

    • 前歯4本の捻じれは治りやすい
    • 安い(片顎18.7万円~(税込))
    • 早い(治療平均4~6ヵ月)
    • 簡単(痛み、違和感が少ない)
  • デメリット

    • 全ての患者様に対応できない(適応範囲が限られる)
    • 奥歯の咬み合わせは変わらない
    • 歯を削る量が多くなる場合が多い
    • 矯正結果に妥協する場合がある
    • 口元は変わらない

部分矯正では治しにくい3選

  • 01

    出っ歯

    下の前歯との咬み合わせが密な場合

  • 02

    叢生 が重度

    ※叢生(そうせい)とは、歯が重なり合い不規則にずれてデコボコになっている状態のこと

    03

    八重歯(犬歯)

話を聞くだけになっても大丈夫

カンタン予約はこちらから無料相談を予約する

こんなことありませんか?

  • 鏡に映る自分の歯並びを見て落ち込む…。
  • いつも人前で笑うとき口元が気になる…。
  • 周りの人の口元を見て自分と比べてしまう…。
だったら、部分矯正でI Love meから始めよう
  • 友達と過ごすとき、思い切り笑える!

  • 写真を撮るとき、最高の笑顔で写れる!

  • もう、笑った口元をごまかさなくて大丈夫!

自分を好きになるために始めるなら早い方がいいかも!!

話を聞くだけになっても大丈夫

カンタン予約はこちらから無料相談を予約する
  • 都合の良い相談日を予約します

    「歯並びが気になる」「早く治したい」という方は、お気軽にご相談ください。

  • 歯並びのお悩みについて話を聞きます

    当院の矯正方針と歯並びに関するご希望をお聞きし、最善のプランを考えます。

  • 検査、診断します

    お口の状態を確認し、治療後にどんな歯並びになるか、またどのくらいの費用がかかるか説明します。気になることがあれば何でも質問してください。

  • 矯正治療を始めるか判断ください

    別の歯科医院で話を聞いたり、お家でゆっくり考えてもらっても構いません。
    当院で矯正治療を受けることを決められましたら、改めてご予約をお取りください。

  • マウスピースを受け取って、矯正開始です!

    あなただけの専用マウスピースを制作し、お渡しします。

今はまだ矯正を始めるか決めていないという方でも

お話だけでも聞いてみませんか

お話を聞くだけでもOK

カンタン予約はこちらから無料相談を予約する

駅チカだから忙しい方も
通いやすい

駅直結の医院や街中で通いやすいから、お仕事の帰りやお買い物の合間など、お気軽にお立ち寄りください。

相談するクリニックをお選びいただけます 全国11医院から、通いやすい医院をお選びいただけます。

Q&A

皆様の笑顔のために、
安全と安心に徹底的にこだわっています。

  • 01

    東京、大阪、広島など全国に11医院

    全国に11医院ありますので、急な引越しや転勤などにも対応可能です。

  • 02

    著書多数出版

    矯正治療に関する多数の著書を出版しています。

  • 03

    部分矯正だけでなく、全体矯正にも対応可能

    デコボコの程度やお悩みによっては全体矯正が相応しい場合があります。
    短期間で治療を終えられる部分矯正と、お口全体の歯並びを整える全体矯正、どちらが相応しいか、カウンセリングで一緒に考えます。

  • 04

    分割払いなら毎月少額の支払いから開始できます

    一括での支払いが難しいとお思いの方には、デンタルローンによって84回払いまでの分割払いで毎回のお支払いの治療費を少なくすることが可能です。
    金利も業界最安値の3.7%になります。
    ※デンタルローンでのお支払いも医療費控除の対応になります。

  • 05

    総額制なので、追加費用はかかりません!

    一般的な矯正治療は、毎月の通院時に「調整費」として別途支払いが必要になることが多いです。
    当院は「総額制」なので、治療の途中で追加費用をご請求することはありません。

話を聞くだけになっても大丈夫

カンタン予約はこちらから無料相談を予約する

YouTubeでも
部分矯正の解説をしています

当院での部分矯正治療について、
ここまで読んでいただきまして
ありがとうございました。

当院での部分矯正についてご関心をもっていただき、ありがとうございます。
ただ、それでもいざ矯正となると

費用がかかるから…
時間もかかるから…
とためらう気持ちは皆さん同じです。

でも、思い切って矯正治療を始めた多くの方から
思い切って治療して良かった
口元を気にせず笑えるようになった
キレイになったと言われる
と喜びのコメントをお寄せいただいています。

部分矯正を手頃な価格で提供し、もっと多くの人に笑顔を届けたい!

半年後、1年後あなたにも素敵な日がきっと訪れます。

You矯正歯科の無料相談でお待ちしています。

話を聞くだけになっても大丈夫

カンタン予約はこちらから無料相談を予約する

・保険適用外の自由診療となります
・1日20時間以上の装着をお願いしています。使用状況や装着時間は、歯の移動量や効果に影響します。
・全ての矯正方法に共通することとして、治療時の効果やその感じ方、実際の歯の移動距離には個人差がございます。
どの矯正方法を選んだ場合にも、ご希望通りに歯が動かない可能性があります。You矯正歯科では「自信を持って思いっきり笑える」理想の歯並びを手に入れられるように全力でサポートいたします。

Q&A

部分矯正についてよく聞かれる質問をまとめました

Q 部分矯正はなぜ治療期間が早いのですか?
A

前歯の根っこは鉛筆のように一本ですが、奥歯の根っこは、机の脚のように2~4本あり、よりがっしりしています。歯茎の中の根っこがしっかりしているほど、同じワイヤーの力でも動きやすかったり動きにくかったりします。
全体矯正の場合には、奥歯から動かしていかないといけませんので、1年から4年ぐらいまで治療期間がかかる場合があります。特に、抜歯して矯正する場合には、歯を抜かない矯正よりも治療期間が長い場合が多いです。

Q 上の前歯だけの矯正した場合、下の歯と嚙み合わせが合わなくなると思うのですが大丈夫ですか?
A

前歯の根っこは鉛筆のように一本ですが、奥歯の根っこは、机の脚のように2~4本あり、よりがっしりしています。歯茎の中の根っこがしっかりしているほど、同じワイヤーの力でも動きやすかったり動きにくかったりします。
全体矯正の場合には、奥歯から動かしていかないといけませんので、1年から4年ぐらいまで治療期間がかかる場合があります。特に、抜歯して矯正する場合には、歯を抜かない矯正よりも治療期間が長い場合が多いです。

Q 部分矯正の場合でも、親知らずを抜いた方が良いのでしょうか?
A

前歯の根っこは鉛筆のように一本ですが、奥歯の根っこは、机の脚のように2~4本あり、よりがっしりしています。歯茎の中の根っこがしっかりしているほど、同じワイヤーの力でも動きやすかったり動きにくかったりします。
全体矯正の場合には、奥歯から動かしていかないといけませんので、1年から4年ぐらいまで治療期間がかかる場合があります。特に、抜歯して矯正する場合には、歯を抜かない矯正よりも治療期間が長い場合が多いです。

Q 前歯だけの部分矯正の方が、後戻りがしやすいという事がありますか?
A

前歯の根っこは鉛筆のように一本ですが、奥歯の根っこは、机の脚のように2~4本あり、よりがっしりしています。歯茎の中の根っこがしっかりしているほど、同じワイヤーの力でも動きやすかったり動きにくかったりします。
全体矯正の場合には、奥歯から動かしていかないといけませんので、1年から4年ぐらいまで治療期間がかかる場合があります。特に、抜歯して矯正する場合には、歯を抜かない矯正よりも治療期間が長い場合が多いです。

Q 歯並びがきれいになった後は、もう医院に通わなくていいのでしょうか?
A

前歯の根っこは鉛筆のように一本ですが、奥歯の根っこは、机の脚のように2~4本あり、よりがっしりしています。歯茎の中の根っこがしっかりしているほど、同じワイヤーの力でも動きやすかったり動きにくかったりします。
全体矯正の場合には、奥歯から動かしていかないといけませんので、1年から4年ぐらいまで治療期間がかかる場合があります。特に、抜歯して矯正する場合には、歯を抜かない矯正よりも治療期間が長い場合が多いです。

●未承認医療機器の使用について
銀座青山You矯正歯科では、医薬品、医療機器等の品質、有効性及び安全性の確保等に関する法律(以下、「薬機法」とする)において未承認の医療機器である「マウスピース型カスタムメイド矯正装置(インビザライン®)」を使用した矯正治療を行う場合があります。 未承認医薬品・医療機器(以下、「未承認医薬品等」とする)について、当サイト内で記載するため、厚生労働省が定める医療広告ガイドラインに従い、「未承認医薬品等であることの明示」「入手経路等」「国内の承認医薬品等の有無」「諸外国における安全性等に係る情報」「医薬品副作用被害救済制度について」について掲載いたします。
●未承認医薬品であることの明示
銀座青山You矯正歯科では、マウスピース型カスタムメイド矯正装置(インビザライン®)を使用する場合があります。インビザライン®は、薬機法上の承認を得ていない未承認医療機器です。また歯科技工士法上の矯正装置にも該当しません。
●入手経路等
銀座青山You矯正歯科が主に治療に使用するマウスピース型カスタムメイド矯正装置(インビザライン®)は、米国アライン・テクノロジー社の製品です。アライン・テクノロジー社のグループ会社である「アライン・テクノロジー・ジャパン株式会社」より入手しています。
●国内の承認医薬品等の有無
銀座青山You矯正歯科が主に使用しているマウスピース型カスタムメイド矯正装置(インビザライン®)以外に、日本で承認を得ている矯正装置を使った治療法があります。日本で「医療機器としての矯正装置」として認可を受けるには、「薬事承認されている材料を使用して、日本の国家資格を持った歯科医師または歯科技工士が製作したもの」・「薬事承認された既製品」でなければならず、インビザライン®は適用されません。
●諸外国における安全性等に係る情報
マウスピース型カスタムメイド矯正装置(インビザライン®)は、1998年にFDA(米国食品医薬品局)から医療機器として認証され、販売認可を受けています。2023年3月時点で 、全世界において1,500万人以上の患者様がインビザライン®を用いた矯正治療を受けていますが、歯科矯正治療の一般的なリスクや副作用を除き、インビザライン®に固有の重大な副作用の報告はありません。
●医薬品副作用被害救済制度について
インビザライン®は、日本においては薬機法の承認を受けておりませんので、万が一重篤な副作用が出た場合は、国の医薬品副作用被害救済制度の対象外となります。